Most people believe toothpaste can only improve oral health. After all, toothpaste is designed to remove plaque, freshen breath, and prevent cavities. However, not all toothpaste formulas are gentle on gum tissue. Some contain strong foaming agents, abrasive particles, artificial chemicals, or alcohol-based ingredients that may irritate the delicate tissues around your teeth.
While these ingredients can enhance cleaning power or create a fresh sensation, they may also cause chronic gum irritation, sensitivity, and inflammation when used daily.If you brush regularly but still notice gum problems, your toothpaste might be contributing to the issue.
Recognizing the early signs that your toothpaste is damaging your gums can help you protect your oral health and choose safer alternatives. In this article, we’ll explore the warning signs to watch for, why certain toothpaste ingredients may cause irritation, and how natural solutions like Nature’s Smile gum balm and oral rinse can support healthier gums.
Table of Contents
Why Toothpaste Can Irritate the Gums

Not all gums react the same way. Some people can use almost any toothpaste without trouble, while others notice irritation from certain ingredients, strong flavors, whitening agents, or overly abrasive formulas.
Your gums are delicate tissue. If they are exposed to ingredients that are too strong, they may respond with inflammation, discomfort, or even small visible changes over time. This does not always mean the toothpaste is “bad” in general. It may simply mean it is too harsh for your specific mouth.
This issue is even more likely if you already have:
- Sensitive gums
- Gum recession
- Early gingivitis
- Dry mouth
- Frequent brushing
- Aggressive brushing habits
When the gums are already vulnerable, the wrong toothpaste can make the situation worse.
1. Your Gums Burn or Sting After Brushing
One of the clearest signs your toothpaste is damaging your gums is a burning or stinging feeling after brushing. While some people mistake this for a sign that the toothpaste is “working,” irritation is not a benefit.
A healthy toothpaste should leave your mouth feeling clean and comfortable, not inflamed or uncomfortable.
What may cause the burning sensation?
Common causes include:
- Strong flavoring agents
- Harsh foaming ingredients
- Whitening chemicals
- Alcohol-like drying effects from other oral products used alongside toothpaste
If your gums feel raw or irritated after brushing, your toothpaste may be too aggressive for daily use.
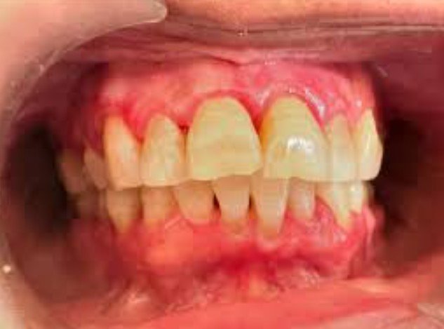
2. Your Gums Look Redder After You Brush
Healthy gums usually look firm and pink. If your gums appear noticeably red or inflamed right after brushing, that may be a sign of irritation rather than improved circulation.
Some people notice this especially along the gumline, where toothpaste makes the most contact during brushing. If the redness keeps happening even when your brushing technique is gentle, the formula itself may be contributing to the problem.
3. You Experience Gum Peeling or Tissue Sloughing

Have you ever noticed thin, stringy, or peeling layers of tissue in your mouth after brushing? This is sometimes called tissue sloughing, and it can happen when certain toothpaste ingredients irritate the soft tissues inside the mouth.
This can affect:
- The gums
- Inner cheeks
- Lips
- Tongue edges
While it may not always be painful, it is a sign that your mouth is not responding well to the product.
4. Your Gums Bleed Even Though You Brush Regularly
Bleeding gums are often linked to plaque buildup or gingivitis, but irritation from oral care products can also play a role. If you brush consistently and still notice bleeding, it is worth considering whether your toothpaste is making inflamed gums worse.
This is especially true if:
- The bleeding started after switching toothpaste
- The bleeding gets worse after brushing
- Your brushing pressure is gentle
- Your gums feel tender in addition to bleeding
In these cases, your toothpaste may not be the only issue, but it could be adding to the inflammation.
5. Your Mouth Feels Dry After Brushing
A clean mouth should not feel stripped or dehydrated. If your mouth feels unusually dry after brushing, the toothpaste may be interfering with comfort and natural moisture balance.
Dryness matters because saliva helps protect the gums by:
- Washing away bacteria
- Supporting oral balance
- Reducing irritation
- Protecting soft tissues
When the mouth becomes too dry, the gums may become more sensitive and more prone to inflammation.
6. Your Gums Feel Tender Around the Gumline
Tenderness along the gumline is another common clue. If your gums feel sore where the teeth and gums meet, your toothpaste may be causing repeated irritation in the same area every day.
This type of sensitivity may feel like:
- Mild soreness
- Tenderness when brushing
- Pain when eating certain foods
- Discomfort when flossing
If the discomfort improves when you stop using a product, that is an important sign.
7. Your Toothpaste Makes Sensitive Areas Worse
If you already have gum recession, exposed roots, or mild gum pockets, certain toothpaste formulas may make those areas feel more irritated. Whitening toothpastes and strongly flavored formulas are common triggers for people with sensitive mouths.
Rather than calming the gums, these products may cause repeated stress that prevents the tissue from feeling normal again.
8. Receding Gums
Gum recession occurs when the gum tissue pulls away from the teeth, exposing the tooth roots. While gum recession has several causes, aggressive brushing combined with abrasive toothpaste can accelerate the process.
Exposed tooth roots can lead to:
- Increased tooth sensitivity
- Higher risk of decay
- A longer appearance of teeth
Protecting your gums with gentle brushing and appropriate oral care products is essential.
9. Frequent Mouth Ulcers
Recurring mouth ulcers may be linked to certain toothpaste ingredients. Some studies suggest that SLS-containing toothpaste may increase the frequency of mouth sores in individuals who are prone to them.
These painful ulcers can make eating, drinking, and speaking uncomfortable.Switching to SLS-free oral care products may help reduce irritation and lower the risk of ulcers.
10. Persistent Bad Breath
Bad breath is often caused by bacteria accumulating along the gum line and between teeth. If toothpaste irritates gum tissue, it may create an environment where harmful bacteria thrive.
Inflamed gums can trap bacteria more easily, which contributes to unpleasant odors. Improving gum health often leads to fresher breath and a cleaner feeling mouth.
11. Your Gums Feel Worse After Brushing
Brushing should leave your mouth feeling refreshed and clean. If your gums feel more irritated immediately after brushing, your toothpaste may not be suitable for your oral health needs.
Pay attention to how your gums respond after brushing. If irritation persists, switching to gentler products may help improve comfort.
12. You Keep Switching Toothpaste but Nothing Feels Right
Sometimes the issue is not dramatic. Instead, you just feel that your toothpaste never leaves your mouth feeling truly comfortable. Your gums may not burn badly, but they may always feel slightly irritated, puffy, or sensitive.
This subtle, ongoing irritation is easy to overlook. But over time, it can point to a product mismatch. If your gums feel better with gentler formulas and worse with stronger ones, your mouth is telling you something important.
Also Read: How to Disinfect Gums Naturally After Flossing: Simple & Effective Tips
Common Toothpaste Ingredients That May Irritate Gums

Understanding what’s inside your toothpaste can help you determine whether it might be affecting your gums. Many commercial formulas contain ingredients that may cause irritation for some people.
Sodium Lauryl Sulfate (SLS)
Sodium lauryl sulfate is a detergent used to create the foam people expect when brushing. While the foaming effect helps spread toothpaste around the mouth, SLS can sometimes irritate oral tissues.
Some people may experience:
- Gum irritation
- Dry mouth
- Mouth ulcers
- Increased sensitivity
SLS may also disrupt the natural balance of bacteria in the mouth, which can affect gum health.
Abrasive Whitening Agents
Whitening toothpastes often contain abrasive compounds designed to scrub away surface stains. While effective at removing stains, these particles can sometimes be too harsh for daily use, especially if you brush aggressively.
Excessive abrasiveness may:
- Wear down enamel
- Irritate gums
- Contribute to gum recession
People with sensitive gums may benefit from gentler formulas with lower abrasiveness.
Artificial Flavors and Preservatives
Artificial flavors and preservatives are added to improve taste and shelf life. However, some individuals may develop mild reactions to these additives.
Possible symptoms include:
- Gum redness
- Tingling sensations
- Burning feelings
- Irritation along the gum line
Natural oral care products often avoid these ingredients.
Other Factors That Can Make Toothpaste Damage Worse
Even a moderately strong toothpaste can become a problem if other habits are already stressing your gums.
These include:
- Brushing too hard
- Using a medium or hard-bristled brush
- Flossing roughly
- Using alcohol-based mouthwash
- Not drinking enough water
- Existing gum inflammation
That is why improving your gum health often requires a full routine adjustment, not just one product change.
What to Use Instead of Harsh Toothpaste
If your toothpaste is irritating your gums, the goal is not to stop oral care. The goal is to use products that clean effectively while being gentler on the gum tissue.
Look for oral care products that are:
- Gentle on sensitive gums
- Less abrasive
- Free from overly harsh additives
- Suitable for daily use
- Focused on gum support, not just tooth whitening
This is where gum-specific products can become especially helpful.
Supporting Your Gums with Natural Oral Care
Many people are now turning to natural oral care products that focus on supporting gum health with plant-based ingredients.
One option is Nature’s Smile, which includes a gum balm and oral rinse designed to promote healthier gums naturally.
These products focus on soothing gum tissue and maintaining oral balance without relying on harsh chemicals.
Nature’s Smile Gum Balm
Nature’s Smile gum balm is applied directly to the gums. Its herbal ingredients may help support gum tissue while maintaining a cleaner oral environment.
Potential benefits include:
- Supporting healthy gum tissue
- Helping reduce gum irritation
- Maintaining fresh breath
- Complementing daily brushing and flossing
Applying the balm directly to the gums allows it to target the areas where gum problems often begin.
Nature’s Smile Oral Rinse
Nature’s Smile oral rinse helps cleanse the mouth naturally. Unlike many alcohol-based mouthwashes that can dry out the mouth, herbal rinses may help maintain oral balance.
Benefits may include:
- Helping reduce bacteria buildup
- Supporting gum health
- Freshening breath naturally
- Complementing the gum balm for daily oral care
Using both products together may help create a more complete gum care routine.
Why Choose Nature’s Smile for Sensitive Gums?
People with irritated gums often want a routine that feels both effective and gentle. That is the appeal of Nature’s Smile.
It aligns with this topic because it supports readers who are trying to:
- Move away from harsh oral products
- Focus more directly on gum health
- Add gum-specific care to their routine
- Build a more natural oral care approach
For someone who suspects their toothpaste is damaging their gums, replacing part of that routine with gum-focused support may be a smart next step.
Signs Your New Routine Is Working
When you move away from irritating toothpaste and toward a more gum-friendly routine, you may start to notice:
- Less redness
- Reduced tenderness
- More comfort after brushing
- Fewer flare-ups along the gumline
- A cleaner mouth without the harsh feeling
Consistency matters. Gum health usually improves through small daily habits rather than overnight changes.
When to Take Gum Irritation Seriously
If your gums stay inflamed no matter what toothpaste you use, there may be a deeper issue involved. Ongoing gum irritation can also be linked to gingivitis, plaque buildup, gum recession, or other oral health concerns.
Pay extra attention if you have:
- Persistent bleeding
- Gum recession
- Loose teeth
- Chronic swelling
- Bad breath that does not improve
- Pain that continues over time
These signs suggest your gums need more than a cosmetic fix.
Final Thoughts
Toothpaste is an important part of oral hygiene, but the wrong formula can sometimes irritate gum tissue. If you notice symptoms such as bleeding gums, redness, sensitivity, or burning sensations, your toothpaste may be contributing to the problem. Choosing gentler oral care products and adopting healthier brushing habits can help protect your gums.
Natural solutions like Nature’s Smile gum balm and oral rinse offer an alternative approach focused on supporting gum health with plant-based ingredients. If you’re noticing signs that your toothpaste may be irritating your gums, it may be time to rethink your oral care routine.



